Tecnología Quantra™

Estandarización del análisis de la densidad mamaria mediante aprendizaje automático en el punto de atención

Tecnología Quantra™ de Hologic

    Visión general

    Documentos

    Formación

    Estandarización del análisis de la densidad mamaria

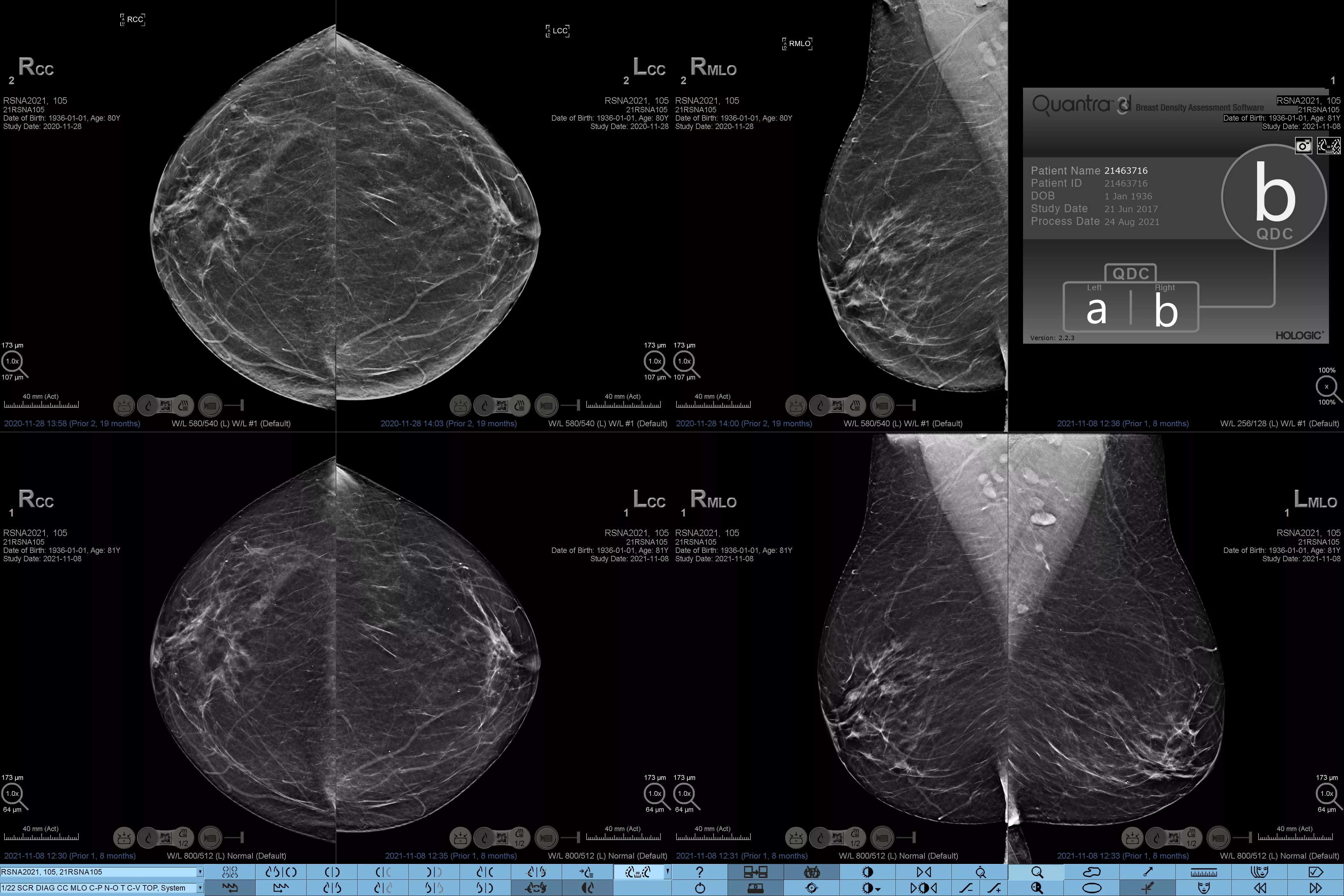
    Sabemos que una densidad mamaria alta aumenta el riesgo de cáncer de mama en mujeres.1 Por tanto, es fundamental realizar un análisis preciso y sin sesgo. El software de la tecnología Quantra, basado en aprendizaje automático, analiza las imágenes 2D™ y de tomosíntesis para determinar la distribución y la textura del tejido parenquimatoso. Clasifica las mamas en cuatro categorías de composición mamaria de acuerdo con las directrices del Atlas BI-RADS (5.ª edición) del American College of Radiology (ACR).2

    Mejora en la predicción del riesgo

    Además del volumen, el patrón y la textura del tejido fibroglandular pueden ser igualmente decisivos para la predicción mamográfica del riesgo de cáncer.3-5 ​​Mediante el análisis y la clasificación de la textura y el patrón de la mama, nuestra tecnología puede ofrecer la información precisa que necesita para realizar una clasificación más fiable y completa y, de este modo, diseñar con seguridad una vía de detección específica para cada paciente.

    Evaluaciones sin sesgo

    El algoritmo de aprendizaje automático objetivo asigna una categoría de densidad de mama de acuerdo con los patrones y la textura del tejido de la mama.

    Estandarización

    Aumente el estándar asistencial y normalice los informes en toda la consulta de radiología.

    Proceso asistencial más fluido para la paciente

    Visualización de los datos de densidad de mama en la estación de trabajo de adquisición para facilitar los protocolos de gestión de pacientes y poder obtener imágenes complementarias.

    Ilustración de la asistencia continuada en la salud de la mama de Hologic con radiología

    Aprovechar la ventaja del tiempo

    La asistencia continuada en la salud de la mama proporciona soluciones integradas que ofrecen fiabilidad clínica, un flujo de trabajo eficaz y una atención respetuosa a la paciente. Una salud mejor para más mujeres, durante más tiempo.

    La tecnología Quantra forma parte de las soluciones para cribado y diagnóstico de Hologic.

    Finalidad del diseño y rendimiento clínico

    Además de procesar las imágenes en 2D y de tomosíntesis, el algoritmo sin sesgo del software Quantra ofrece las siguientes ventajas durante el análisis:

    • Mitiga la subjetividad de la evaluación visual mediante un sistema de clasificación más completo y fiable.*
    • Aumenta el estándar asistencial y estandariza la creación de informes.
    • Facilita la aplicación de los protocolos de atención a las pacientes para una adquisición de imágenes complementaria.
    Exploraciones de adquisición de imágenes mamarias
    Mujer haciendo una consulta al recepcionista de la unidad de imagen mamaria de un hospital sobre pruebas de cribado y diagnóstico

    Visite nuestro hospital virtual

    Explore nuestra gama de productos para salud mamaria en 3D. Descubra cómo aprovechar la ventaja de ganar tiempo para la asistencia continuada en la salud de la mama.

    Soluciones de software integradas basadas en IA de Hologic

    Nuestros productos están diseñados para combinarse y se pueden adaptar a sus necesidades. Nuestro conjunto de soluciones de IA integradas y preparadas para el futuro está diseñado para mejorar los sistemas de detección y diagnóstico precoz del cáncer de mama, acelerar los flujos de trabajo y prestar cuidados personalizados a las pacientes gracias a la evaluación automática de la densidad de la mama. Analice sus necesidades clínicas con nuestro equipo de especialistas para encontrar una solución personalizada y óptima que se ajuste a sus requisitos específicos.

    Categorías de riesgo8

    Datos científicos. Perspectiva. Colaboración.

    Nuestro portal educativo mejora la atención al paciente a través de la excelencia en la educación, la comunicación de evidencia clínica y científica, y las alianzas con la comunidad de atención médica.

    Perspectivas

    Radiólogos revisando una mamografía con tomosíntesis en una pantalla Radiólogos revisando una mamografía con tomosíntesis en una pantalla

    Resultados del estudio ToSyMa, un futuro en 3D para el cribado del cáncer de mama

    Mujeres sentadas delante de un equipo de mamografía, con un profesional sanitario a su lado. Mujeres sentadas delante de un equipo de mamografía, con un profesional sanitario a su lado.

    Los programas de cribado del cáncer de mama y de cérvix, hoy y en el futuro

    Médico y paciente hablando sobre cáncer de mama Médico y paciente hablando sobre cáncer de mama

    Intervenciones no quirúrgicas mínimamente invasivas en cáncer de mama

      * Las clasificaciones se basan en las categorías BI-RADS del ACR, de acuerdo con las directrices revisadas publicadas en el Atlas BI-RADS (5.ª edición) del American College of Radiation (ACR). Estas directrices tienen en cuenta el patrón y la textura, y no solo el volumen, a la hora de determinar la densidad.
      ** Estimación basada en un periodo de interpretación de imágenes de 8 horas diarias.
      1. Rafferty EA, Durand MA, Conant EF, et al. Breast Cancer Screening Using Tomosynthesis and Digital Mammography in Dense and Nondense Breasts. JAMA. 26 de abril de 2016;315(16):1784-6.
      2. Atlas BI-RADS del ACR, 5.ª edición. 2013. Disponible en: https://www.acr.org/Clinical-Resources/Reporting-and-Data-Systems/Bi-Rads (consulta: noviembre de 2019)
      3. Zuley M, Guo B, Catullo V, et al. “Comparison of Two-dimensional Synthesized Mammograms versus Original Digital Mammograms Alone and in Combination with Tomosynthesis Images.” Radiology. Junio de 2014; 271(3):664-71. Publicación electrónica, 21 de enero de 2014.
      4. Durand M, Raghu M, Geisel J, et al. Synthesized 2D mammography + tomosynthesis: Can We See Clearly?” (artículo presentado en el congreso anual de la Radiological Society of North America, celebrado en Chicago el 2 de diciembre de 2015).
      5. Choi J, Han B, Ko E, et al. Comparison with two-dimensional synthetic mammography reconstructed from digital breast tomosynthesis and full field digital mammography for the detection of T1 breast cancer. European Radiology. Agosto de 2016; 26(8):2538-46. Publicación electrónica, diciembre de 2015.
      6. Datos de Hologic en archivo: DHM-08611 Rev. 006.
      7. Datos en archivo: Clinical Study Report CSR-00116 Rev. 004.
      8. Categorías de composición mamaria descritas en el Atlas BI-RADS del ACR.

       

      Fichas de seguridad

      2797

      Hologic BV, Da Vincilaan 5, 1930 Zaventem, Belgium.

      Número del organismo notificado cuando proceda