Sistema automático de bloques celulares Cellient®

Fiabilidad diagnóstica con mejoras en la captura de las células

Equipo médico sobre la mesa de un laboratorio

    Visión general

    Documentos

    Formación

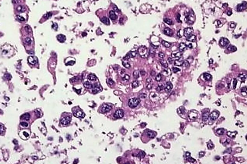
    Aproveche al máximo cada bloque celular

    El sistema automático Cellient® es un dispositivo de bloques celulares completamente automatizado. Con un tiempo de procesamiento total inferior a una hora, la filtración asistida por vacío concentra rápidamente las células disponibles del bloque. Este sistema produce de forma homogénea bloques de alta calidad y utilidad diagnóstica para garantizar una revisión eficaz.1

    Mejoras en la captura

     

    Con filtración asistida por vacío.

    Captura las células disponibles para alcanzar la máxima celularidad, incluso a partir de muestras pequeñas o escasas.

    Basado en la tecnología ThinPrep®.

     

    Mejoras en la presentación

     

    Ayuda a mantener una arquitectura celular clara y nítida.

    Crea concentraciones de células en un bloque.

    Simplifica la revisión de anatomía patológica y aumenta la productividad.

     

    Mejoras en la homogeneidad

     

    Crea bloques de alta calidad.

    Completamente automatizado, reduce considerablemente o elimina la intervención del técnico.

    Reduce el riesgo de contaminación cruzada.

    Reducción sistemática del tiempo de procesamiento (45 minutos o inferior).

     

    Gráfico que muestra la relación entre los productos de Hologic

    Trabajamos junto a usted para mejorar la salud del cuello uterino

    Nos enorgullecemos de encabezar la defensa de la salud de la mujer y liderar mundialmente el sector de las soluciones de cribado, con el compromiso de fomentar una detección precoz y precisa del cáncer de cuello de útero.  Desde las pruebas VPH hasta la citología y, ahora, también el diagnóstico digital basado ​​en IA, ofrecemos una completa y exclusiva gama de pruebas de cribado, desde la recogida de muestras hasta el diagnóstico.

    Tipos de muestras adecuados

    • Muestras de punción/aspiración con aguja fina (PAAF) de pulmón, hígado, mama y ganglios linfáticos, entre otros.
    • Fluidos corporales: pleural, ascítico, pericárdico
    • Muestras respiratorias: lavado bronquial, cepillado bronquial, esputo
    • Cérvix1
    Técnico de laboratorio observando una muestra en un laboratorio

    Galería de imágenes2

    Datos científicos. Perspectiva. Colaboración.

    Nuestro portal educativo mejora la atención al paciente a través de la excelencia en la educación, la comunicación de evidencia clínica y científica, y las alianzas con la comunidad de atención médica.

    Perspectivas

    mano enguantada colocando tubos de ensayo en una bandeja mano enguantada colocando tubos de ensayo en una bandeja

    Un experto explica las diferencias entre las pruebas de ARNm y las pruebas de ADN

    Profesional de laboratorio examinando un tubo de muestra Profesional de laboratorio examinando un tubo de muestra

    ¿Cómo puede ayudar la citología líquida al día a día en los servicios de Anatomía Patológica?

    Imagen de un infografía que muestra una vista del cribado cervicouterino de una mujer Imagen de un infografía que muestra una vista del cribado cervicouterino de una mujer

    Descubra el futuro del cribado de cáncer de cuello uterino

      1. Manual de usuario del sistema automático de bloques celulares Cellient®, MAN-08346-002, Rev. 002
      2. Imagen cortesía del Dpto. de Citología del Hospital Universitario de Groningen, Países Bajos

      Fichas de seguridad

       

      2797
       

      Hologic BV, Da Vincilaan 5, 1930 Zaventem, Belgium.

      Número del organismo notificado cuando proceda